CS

Dr. Camilo Salinas

Neurocirujano 

Reservar evaluación

Agenda y discutamos tu caso a fondo.

Evaluación integral de tu patología para llegar a un diagnóstico preciso y de esa forma plantear el mejor manejo, sea médico, quirúrgico o mixto   con la mejor recuperación posible 

  • Atención presencial
  • Segunda opinión
  • Videoconsulta
  • Seguimiento
CS

Camilo Salinas Muñoz

Neurocirujano

Basado en evidencia
Seguridad del paciente
Tiempos de espera acotados
Acompañamiento cercano

Prestaciones

En cada caso se busca un plan diagnóstico y terapéutico claro, explicando riesgos y beneficios de las distintas alternativas de tratamiento.

Imagen ilustrativa de hernia de núcleo pulposo

HNP (hernia del núcleo pulposo)

Dolor de espalda, radicular, ciática  déficit neurológico asociado a compresión de raíz.

Imagen ilustrativa de síndrome del túnel carpiano

Síndrome túnel carpiano

Adormecimiento y dolor en mano, evaluación electrofisiológica y descompresión cuando está indicada.

Imagen ilustrativa de raquiestenosis lumbar

Raquiestenosis

Estenosis lumbar o cervical, claudicación neurógena y planificación de descompresión dirigida.

Imagen ilustrativa de hidrocefalia

Hidrocefalia

Estudio etiológico, manejo valvular y seguimiento clínico-radiológico a largo plazo.

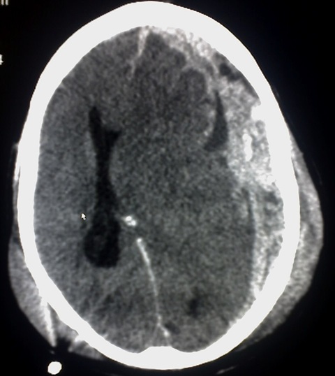
Imagen ilustrativa de hematoma intracerebral

Hematomas intracerebrales

Manejo médico y/o quirúrgico de hematoma subdural, hematoma extradural, hemorragia subaracnoídea traumática, etc, así como el seguimiento posterior.

Imagen ilustrativa de atrapamiento cubital

Atrapamiento del nervio cubital

Hormigueo en cuarto y quinto dedo, estudio de conducción y descompresión selectiva.

Imagen ilustrativa de descompresión de foramen magno

Estenosis del foramen Magno

Evaluación de compresión cervicomedular y decisión de descompresión posterior.

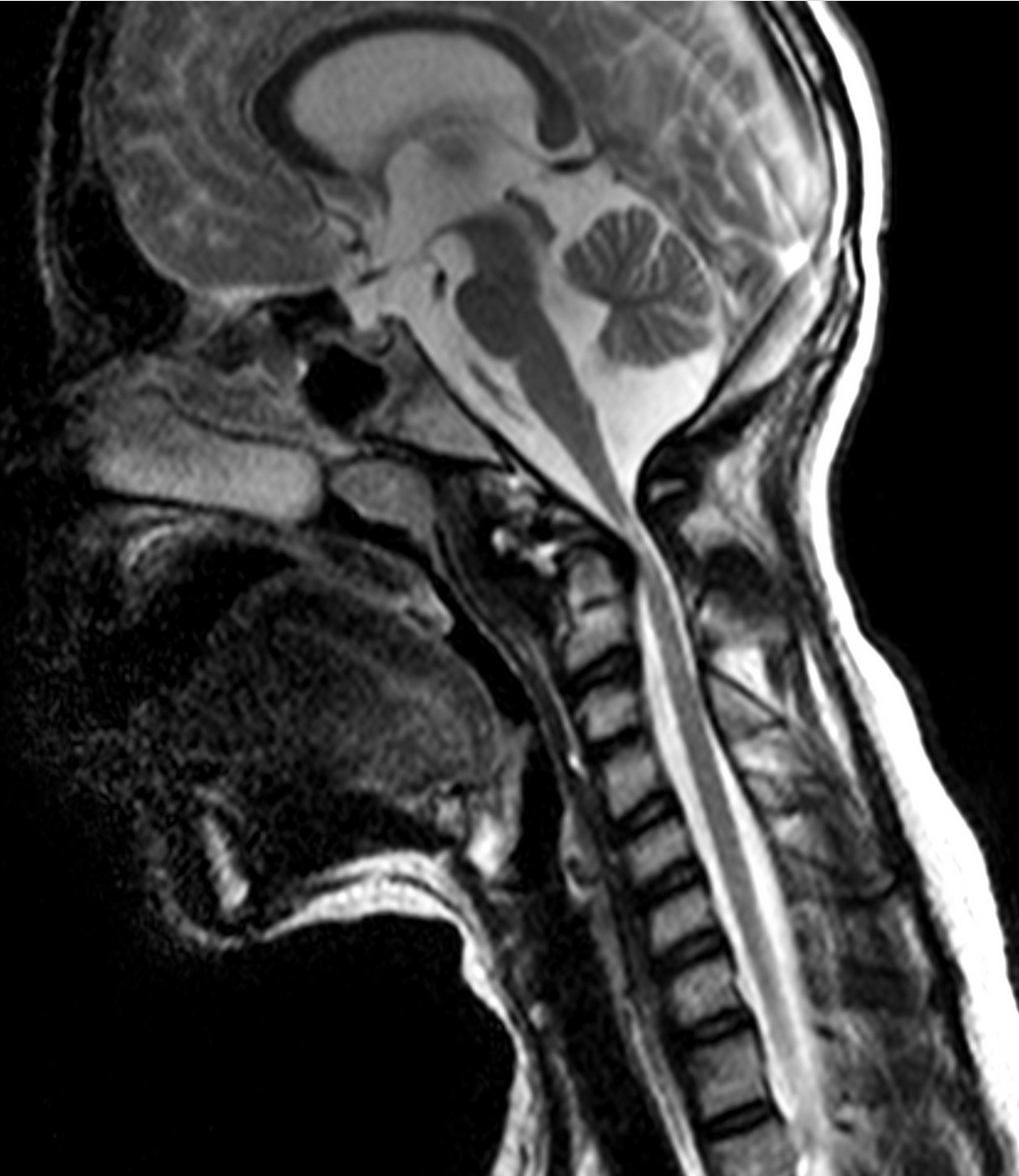
Imagen ilustrativa de malformación de Arnold–Chiari

Arnold–Chiari

Correlación clínico-radiológica y decisión de descompresión según síntomas y hallazgos.

Imagen ilustrativa de un defecto óseo

Craneoplastía

Reparación del defecto óseo craneal por medio de una nueva cirugía, utilizado hueso propio o prótesis, devolviendo la protección al encéfalo y reparando el defecto estético asociado.

Imagen ilustrativa

Y más...

Manejo médico y qurúrgico de múltiples patologías neuroquirúrgicas (cerebro y columna) 

Sobre mí

Neurocirujano formado en la Universidad de Santiago de Chile (USACH), con especial cercanía a la patología de columna y al neurotrauma. Enfoque centrado en el bienestar integral del paciente, combinando criterios clínicos, neuroimagen y práctica basada en evidencia.

En esa linea realicé una estadía de perfeccionamiento de 2 meses en la unidad de raquis del Hospital clinic de Barcelona y actualmente me encuentro cursando una nueva estadía de perfeccionamiento de un año en la unidad de columna del Hospital Dr. Sótero del Río

  • Comunicación clara y cercana durante todo el proceso.
  • Trabajo coordinado con equipos de rehabilitación.
  • Actualización continua en técnicas neuroquirúrgicas.

¿Dolor columna persistente?

Una evaluación ordenada puede aclarar el diagnóstico y las opciones de manejo.

Agendar consulta

Agenda tu consulta

Puedes dejar tus datos de contacto y el motivo de consulta. Te contactaremos para coordinar fecha y horario.